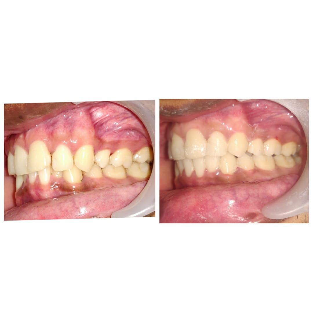
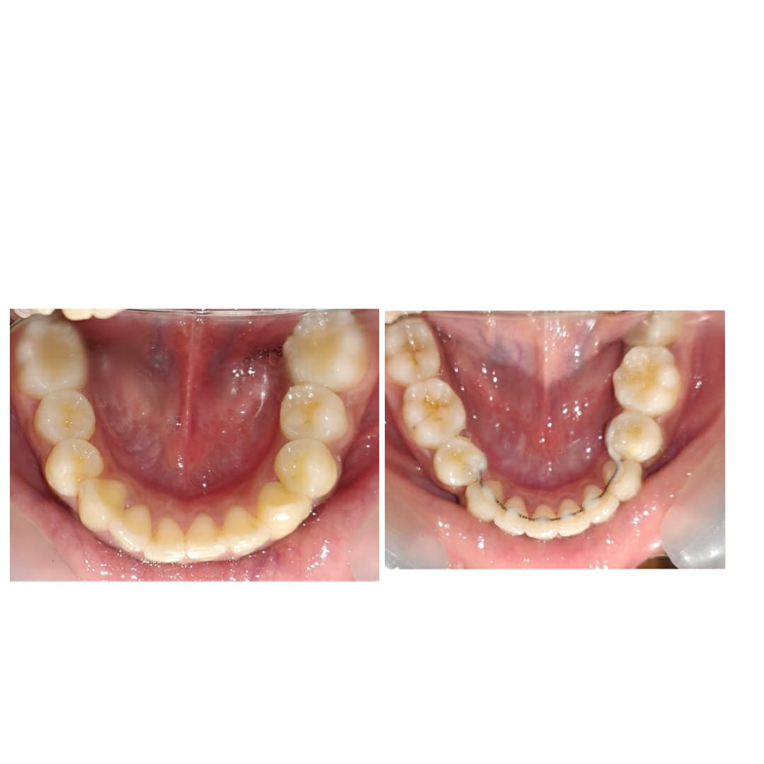
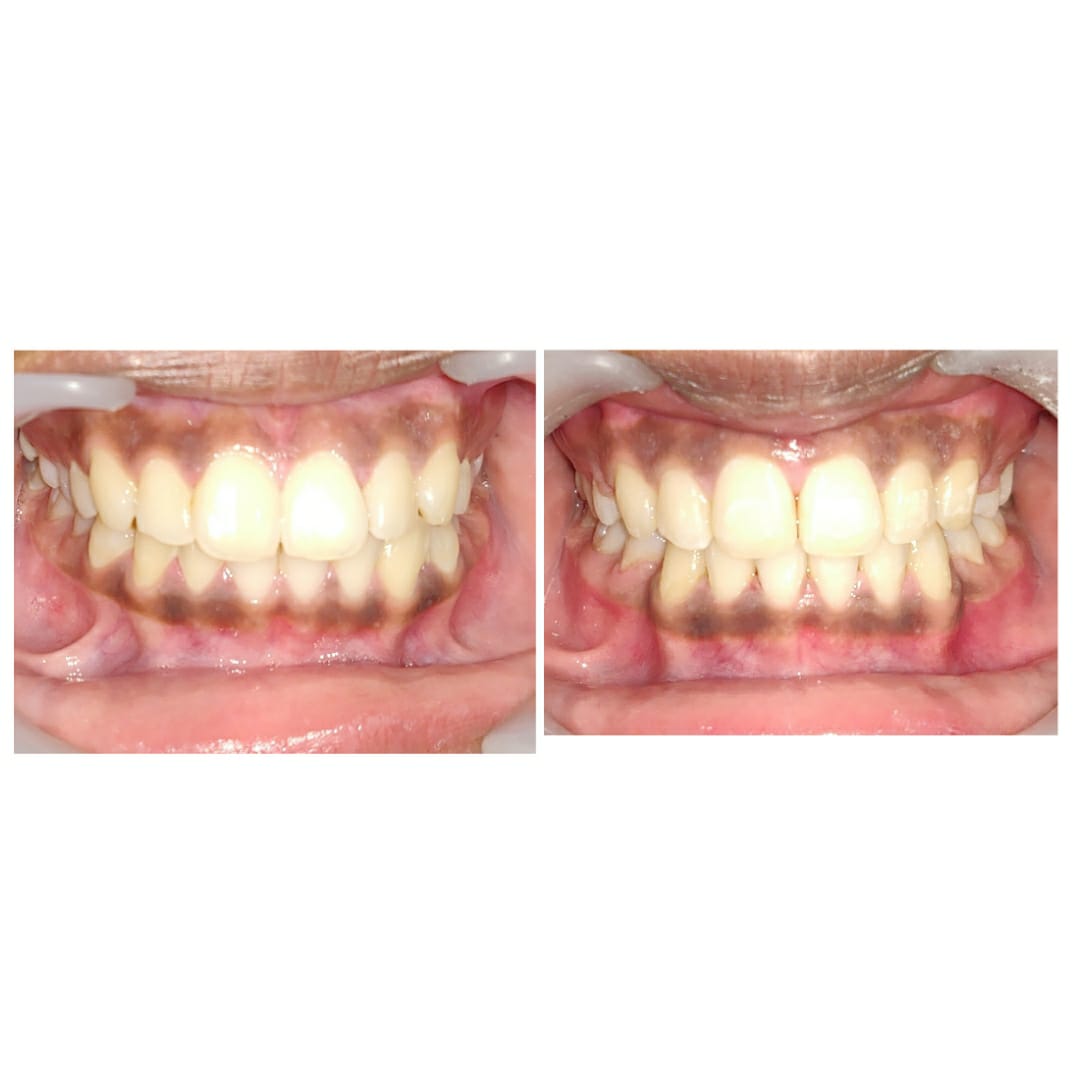
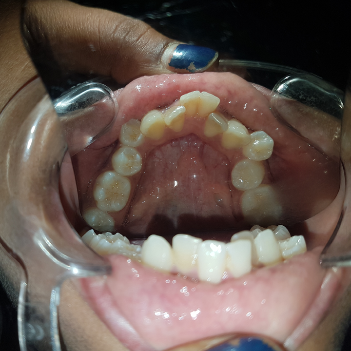
Orthodontic Ongoing Cases CASE-1 Before Treatment + + + + + + After Treatment + + + + + + CASE-2 + + + + + + + CASE-3 + + + + + CASE-4 + + + + CASE-5 + CASE-6 + + + + + +