Working Hour:
10.00am - 08.00pm
Email:
bracelineorthodontics1@gmail.com
Hotline:
+91 9100 250 643
Home
About
About us
Case Studies
Specialist Services
Sleep Apnea
Metal/Traditional Braces
Lingual Braces
Clear Braces
Ceramic Braces
Bite Correction
Invisalign
Smart Clips
Orthodontic Headgear
Self Ligating Braces
Smile Designing
Surgical Orthodontics
Myobraces
General Dental Services
Media
Gallery
Case Gallery
News
Video Gallery
Contact
Book An Appointment
Case Studies
Home
//
Case Studies
Services
Case Studies
Check Out Our Case Studies
1. GUM-SURGERIES
Before
After
2. INVISIBLE-CLIPS
Before
After
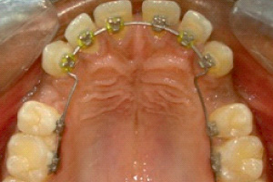
3. ORTHODONTIC-CLIPS
Before
After
4. TOOTH-COLORED-FILLINGS
Before
After
5. SMILE-DESIGNING
Before
After
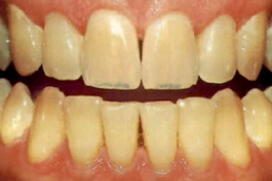
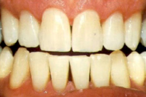
6. TEETH-WHITENING
Before
After
7. SINGLE-VISIT-ROOTE-CANAL-TREATMENT
Before
After